Registracija
Meie tööd


Probleem. Esteetilises piirkonnas puuduvad kaks hammast.
Lahendus. Hambaimplantaadid puuduvate hammaste asendamiseks.


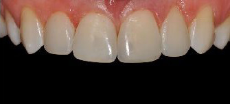
Probleem. Laiad hambavahed ja katkised hammaste servad.
Lahendus. 4 hamba esteetiline täitmine.


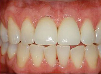
Probleem. Esteetilises piirkonnas puuduvad kaks hammast.
Lahendus. Hambaimplantaadid puuduvate hammaste asendamiseks.


Probleem. Eemaldatud piimahammas.
Lahendus. Pärast 3 kuu möödumist, kui luu on paranenud, paigaldatakse hambaimplantaat ja kinnitatakse kohe igemeformeerija.
Pärast 2,5 kuu möödumist paigaldati pärast implantaadi kinnitumist püsikroon.


Probleem. Hambakivi on nähtav hambapindadel.
Lahendus. Protseduuri käigus eemaldatakse hambapindadelt hambaplaak, kasutades ultraheli-skaalerit ja tahmapuhurit (“Air Flow”). Protseduuri lõpus hambad poleeritakse.


Probleem. Hambakaariese tekitatud kahjustused
Lahendus. Kaariese kahjustuste taastamine komposiittäidetega.


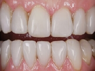
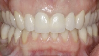
Probleem. Vanad, ebaesteetilised metallkeraamilised kroonid, kulunud hambad, sügav hammustus.
Lahendus. Hambaproteesidele paigaldatakse tsirkooniumoksiidist keraamilised kroonid ja hammustuskõrgust tõstetakse.


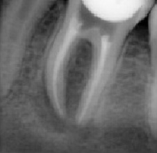
Probleem. Sügav karioosne õõnsus
Lahendus. Kanalid puhastati, valmistati ette täidiseks ja tehti hambaravifoto koos täitematerjaliga.
Sulge hamba juurekanalid. Hammas on valmis edasiseks raviks.


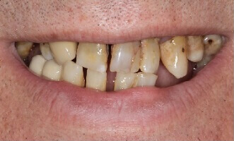
Probleem. Mitmekordsed karioossed kahjustused hammastel, suur hammaste väärarengute tase.
Lahendus. Halva hambaprognoosi tõttu eemaldati ülejäänud hambad ja paigaldati neli hambaimplantaati ülemisse ja alumisse lõualuusse. Implantaadid toetati metallist keraamiliste kroonidega.